近日,我院呼吸内科联合多学科团队,成功救治一名气道狭窄达95%的危重患者,让患者重获“呼吸自由”。

“医生,我母亲胸闷憋喘得快不行了!”近日,病房里突然传来患者家属焦急的呼喊。患者因食管恶性肿瘤快速生长,不断挤压周围组织,气管被压迫得仅剩不足2 - 3mm的缝隙,血氧饱和度一度降至70%,生命岌岌可危。


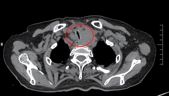
经详细检查,患者食管恶性肿瘤生长迅速,导致外压性气管狭窄程度超过95%,仅剩极窄的缝隙用于通气。患者出现了进行性呼吸困难,无法平卧,意识也逐渐模糊,濒临窒息。传统的气管插管无法通过如此狭窄的管腔,而开胸手术风险极高,患者身体状况难以承受。在仅2 - 3毫米的狭窄空间内进行操作,既要防止肿瘤破裂出血,又要维持患者的氧合,这对手术团队的技术和经验是极大的考验。

多学科协作的精准治疗


呼吸介入团队:我院呼吸内科副主任中医师邢磊与南京市第一医院呼吸介入中心常立功教授共同主导手术。

麻醉团队:我院麻醉科副主任医师邵茜和南京市第一医院麻醉科陈利海教授为患者定制了“浅镇静 + 喉罩通气”的麻醉方案,有效破解了高危麻醉难题。
护理团队:全程进行可视化生命监测,精准调控氧流量,为手术提供坚实的护理保障。
核心技术突破
手术使用硬质气管镜快速建立生命通道,为后续操作创造了必要的空间。超细支气管镜深入狭窄段,准确定位支架释放区域。将镍钛合金网状支架精准展开,瞬间撑开了“塌陷隧道”,恢复了气道的通畅。
时间轴见证救治奇迹
18:15:多学科团队进行术前联合会诊,制定详细的手术方案。
18:59:硬镜成功突破狭窄段,患者的血氧饱和度迅速回升至99%。
19:10:支架成功释放,气道直径恢复至8mm,患者的呼吸状况得到明显改善。
19:40:患者苏醒,自主呼吸逐渐平稳。

(术前气管镜检查)

(术中)

(术后第五天)
术后,患者状态良好,她激动地说:“之前呼吸感觉像被人掐住脖子,憋闷得难受,现在顺畅多了,心里一下子就踏实了。”患者家属也满是感慨:“真没想到在家门口的医院就能完成这么高难度的手术,多亏了医生们的精湛医术,太感谢你们了!”

此次成功救治意义重大,它是高淳地区首次开展硬镜 - 软镜联合气道介入治疗,为区域内气道疾病的治疗提供了全新的范例。同时,医院构建的“区级医院接诊 - 三甲专家下沉 - 24小时绿色通道”急救体系也在本次救治中发挥了关键作用,显著提高了危重患者的救治效率。
专家提醒食道及气道肿瘤患者,需留意身体“警报”:平卧呼吸困难加重、夜间反复憋醒或轻微活动有“窒息感”时,应及时就医。通常外压性狭窄超 50%需干预,硬镜介入治疗可减少开胸创伤,减轻患者痛苦且预后更佳。邢磊表示,医院已常态化开展硬质气管镜联合介入治疗,并建立气道狭窄三级预防体系。高淳中医院呼吸内科将以专业技术和严谨态度,守护患者自由呼吸。
免责声明:市场有风险,选择需谨慎!此文仅供参考,不作买卖依据。
责任编辑:kj005
近日,我院呼吸科成功为一位高龄患者实施了高难度支气管镜氩等离子体凝切术(APC),以精准微创技术化解了老人的窒息危机,最终,老人转危为安,这一微创技术,为老人重...
当下,老年群体的心理健康问题受到越来越多人的关注,不少老年人因子女忙于工作、行动不便等原因,社交圈子受限,娱乐方式单调,智能产品“用不好&rdquo...
春节临近,深圳宝安国际机场即将迎来出行高峰1.停车春节期间,官方停车楼车位难找,往往开车在停车楼绕了一圈还没找到车位与此形成鲜明对比的是,通过“泊安...