精准诊断终结患者700个日夜的折磨
两年,七百多个日夜,对于普通人来说是日升月落的寻常,对于曾先生而言,却是每一天都在与眼睛的疼痛抗争。睡前闭眼后的半小时和早起睁眼时,那种钻心的疼,像针扎、像砂纸磨,让他在无数个深夜辗转难眠,生活被拖入黑暗的深渊。

直到2026年2月1日,他走进了爱尔眼科医院(防城港),遇到了吕芳奇副院长——这一天,成为他疼痛的终点。
一场意外,两年噩梦
2024年,一次不经意的撞击,让曾先生的眼睛开始了漫长的“受难”。
起初只是感觉眼睛磨,像进了沙子,他并没有太在意。可这“沙子”一磨就是两年。两年来,他辗转多家医院,得到的诊断五花八门:结膜炎、干眼症、视疲劳……眼药水用了一瓶又一瓶,治疗做了一次又一次,症状却始终没有好转。

2025年5月开始,情况急转直下。“每天睡前半小时,眼睛就开始疼,那种疼不是表面的,是从里面往外钻的疼。特别早上睁开眼的时候,疼得我整个人都清醒了。”曾先生回忆那段时间,眼神里还残留着心悸。严重的时候,他害怕睡觉,害怕天亮,生活和工作完全被打乱。
最后的选择:防城港爱尔眼科医院
2026年2月1日,抱着最后一丝希望,曾先生来到了爱尔眼科医院(防城港)。

接诊的是副院长吕芳奇——一位曾在北京顶尖眼科中心深耕多年、师从全国著名眼科专家的角膜眼表疾病权威。在详细了解病史并进行精细检查后,吕院长很快给出了诊断:
“这是外伤引起的。“复发性角膜上皮糜烂”这个诊断,曾先生等了两年。在此之前,从未有医生如此清晰、准确地告诉他,他的眼睛到底怎么了。
吕院长耐心解释:“外伤破坏了角膜最表层的上皮细胞,正常情况下它们会自己长好,但您的损伤比较特殊,导致角膜上皮细胞不能很好的和下方的组织粘合,从而导致上皮反复的剥脱,尤其是早起睁眼时摩擦最为剧烈,疼痛也就最明显。”
曾先生终于明白,这两年他承受的,不是“小毛病”,而是一个需要精准干预的医学问题。
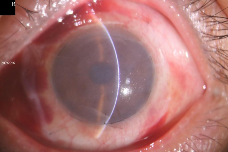
一台手术,终结疼痛
诊断明确后,吕芳奇副院长亲自为曾先生主刀,实施了角膜清创加羊膜覆盖术。
“想要解决曾先生的病痛,首先要将损伤的区域清创干净,为新生角膜上皮的生长创造良好的‘土壤’。”吕院长解释道,“随后用羊膜覆盖术,在受损的角膜表面覆盖一层具有抗炎、促修复功能的生物羊膜,就像为角膜上皮的再生撑起一把‘保护伞’,让它在无菌、湿润的环境中安心生长。”

(术后拆线前)
手术进行得很顺利。术后几天,曾先生惊喜地发现,那种伴随他两年的刺痛感,正在一点点消退。到了第五天,疼痛完全消失了,而随后的复查显示,角膜上皮正在良好愈合,困扰曾先生两年的噩梦,终于在这一刻画上了句号。

专家解读:精准诊断,是疗效的第一步

“曾先生的案例很有代表性。”吕芳奇副院长在术后总结道,“他的病因其实很明确——外伤导致的角膜上皮缺损。容易被误认为是普通的角膜上皮缺损,不及时治疗疼痛会反复的出现,给患者带了极大的痛苦。”
他强调,角膜上皮缺损如果得不到及时修复,不仅会导致持续疼痛,还可能引发感染、角膜溃疡甚至穿孔等严重后果。而精准的诊断,正是有效治疗的前提。
“很多患者辗转求医无果,不是病难治,而是没找准病因。作为医生,我们的价值,就是用经验和技术,帮患者找到那个‘症结’,然后精准拆解它。”
用专业,为患者点亮希望
曾先生的故事,是爱尔眼科医院(防城港)无数成功案例中的一个缩影。它告诉我们:有些痛苦,不必忍受;有些问题,可以解决;有些专家,值得信赖。
吕芳奇副院长,这位从北京而来的角膜眼表专家,正用他丰富的临床经验和精准的诊断能力,为越来越多的港城患者带去清晰与安宁。

免责声明:市场有风险,选择需谨慎!此文仅供参考,不作买卖依据。
责任编辑:kj005
精准诊断终结患者700个日夜的折磨两年,七百多个日夜,对于普通人来说是日升月落的寻常,对于曾先生而言,却是每一天都在与眼睛的疼痛抗争直到2026年2月1日,他走...
2026年3月3日,农历正月十五元宵佳节,河津市“鱼跃龙门 幸福河津”元宵节社火文艺汇演在龙门大道隆重举行接到保障任务后,运城分公司高度...
爱情,是人类永恒的精神图腾,是文学创作中永不褪色的主题【作者简介】樊兴利,1965年10月出生,现在吉林省蛟河市委宣传部工作【内容介绍】一、独特创作风格:自然意...
3月18日至20日,2026中国国际化妆品个人及家庭护理用品原料展览会(PCHi)将在杭州大会展中心举行据悉,润楚深耕外贸原料领域多年,业务覆盖化妆品、个人护理...
近日,天立国际控股董事局主席兼总裁罗实先生受邀带队赴马来西亚开展交流,与马来西亚政府及国家级机构展开深入会谈,共商吉隆坡市中心核心区域(KLCC)国际学校项目建...
在人口老龄化加速背景下,轻度认知障碍(MCI)群体规模持续扩大,其照护问题已成为关乎民生福祉与社会治理的重要议题他们:在遗忘中渴望被理解的人调研发现,MCI老人...
2026年1月10日,“新一代机器人全飞秒新微创手术SMILE pro高质量发展论坛”在上海隆重举办论坛发布的数据显示,中国微创全飞秒S...